Menu
020 8977 5939 BOOK ONLINE CONTACT US

Case 1 - Cosmetic Bonding

Composite Bonding to improve the shape of a conical lower front tooth. Case by Dr Farah Rajabali

READ MORE

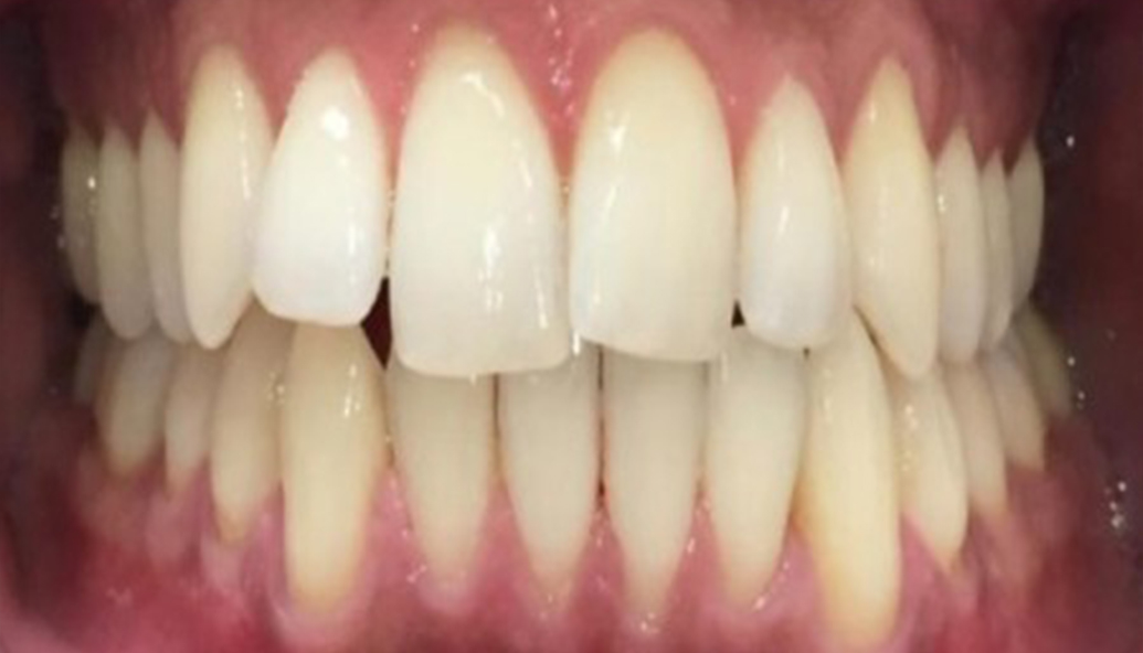
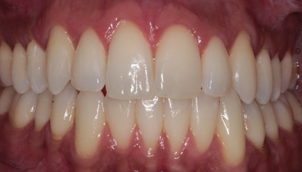
Case 2 - Smile Makeover

A combination of Whitening and Composite Veneers to improve the shade and alignment of the teeth. Case by Dr Farah…

READ MORE

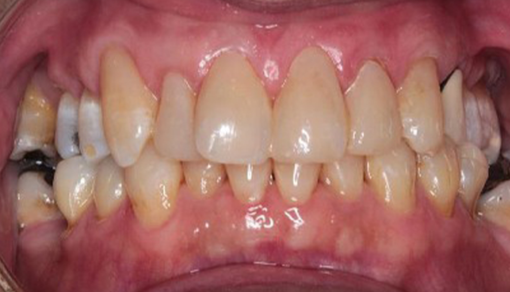
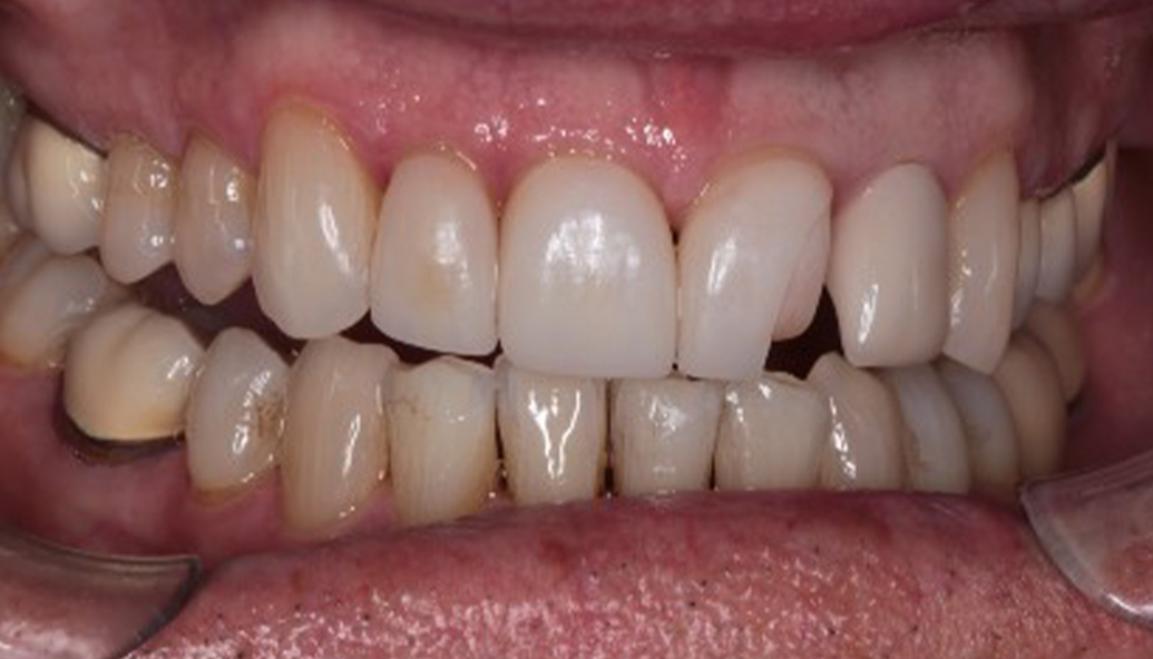
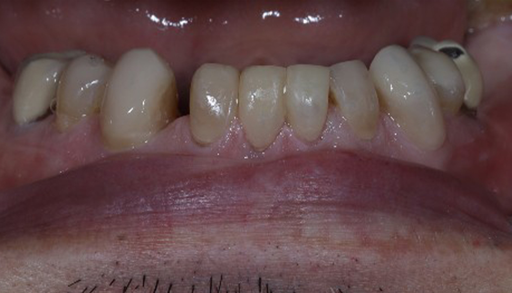
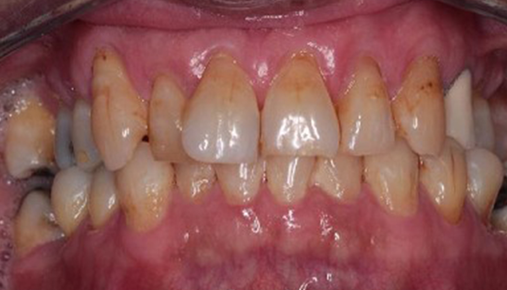
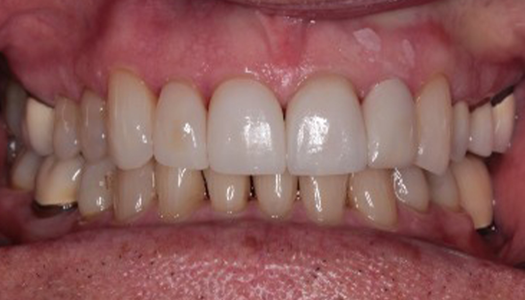
Case 3 - Cosmetic Bonding

Rehabilitation of worn lower teeth with extractions of infected teeth and composite placement to improve function and aesthetics. Case by…

READ MORE

Case 4 - Invisalign®

This patient presented with crowding of his front teeth, which was corrected with Invisalign Go, followed by Home Whitening. Case…

READ MORE

Case 5 - Porcelain Veneers

Replacement of a broken Porcelain Veneer. Case by Dr Farah Rajabali

READ MORE

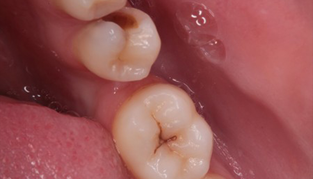
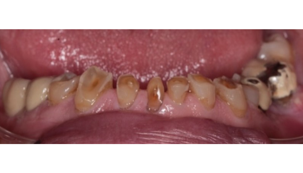
Case 7 - Fillings

Removal of decay and placement of Composite (white) Fillings. Case by Dr Farah Rajabali

READ MORE

GET IN TOUCH

To speak with a member of our team to arrange or cancel an appointment or to make an enquiry as a new or existing patient, please get in touch.

REVIEWS

N.S

star

“The Best Dentist. I have been a patient of Kirby dental for quite some time now. Five fixed teeth, and we are still working on perfecting my oral health (thanks, Mum, for never stopping me from eating sweets when I...”

READ MORE

Philip S

star

“Dr Rajabali is a consummate professional. She makes it her duty to be aware of the current best practice. I have been lucky to have Dr Rajabali as my dentist for the last five years. All of the work she...”

READ MORE

S.R

star

“Kirby is an exceptional dental practice. Everything is as it should be. The receptionist is lovely and Farah, my dentist, is excellent. She's caring, thorough and clearly an expert in what she does. I feel very safe in her hands....”

READ MORE

M.M

star

“In every detail, the Kirby Dental Practice must receive top rating. Farah and the staff are all very friendly and welcoming and the level of attention given is the best I and my wife have ever experienced. All dental procedures...”

READ MORE

Janina H

star

“I am so grateful I found Farah. What an amazing dentist. So professional and thorough and more importantly so gentle. I was very nervous changing dentist due to my last dentist retiring but I felt so safe and so well...”

READ MORE

We understand you might be nervous We’re here to change that

Nervous patients are welcome at Kirby Dental – we will always strive to make you comfortable during your dental appointments.

LEARN MORE
logo grey plain symbol
Google Rating
5.0
Google Rating
Google-review