Menu
020 8977 5939 BOOK ONLINE CONTACT US

Invisalign®- discreet and convenient
teeth straightening made possible.

These comfortable and removable transparent aligners are the epitome of easy and practical.

Eat and brush more easily than with traditional metal braces, and forget you’ve even got them in!

invisalign thumb

Your introduction to Invisalign®

Breakdown: bespoke transparent aligners that gradually move your teeth with gentle force. No metal or wires.

Life Benefits: straight teeth/increased confidence/enhanced oral health.

Treatment Time: as little as 6 months (depending on the complexity of the case and desired outcomes)

What is Invisalign®?

Invisalign® is the most popular removable teeth straightening treatment in the world.

It gives patients an alternative choice to traditional metal braces that prioritises comfort and practicality during the treatment time.

Invisalign® involves the following steps

Consultation
Full consultation to establish suitability for treatment. Scans and photos are taken digitally and used to predict the various positions your teeth will pass through prior to their final position, making treatment highly predictable and accurate.

Invisalign® Aligner creation
The aligners are custom made by the Invisalign® lab. When prepared, they are sent back to your dentist.

Demonstration and Treatment
We will make sure you understand how to place your aligners over your teeth and answer any questions you might have. We want you to feel fully confident prior to beginning your treatment. You will follow the aligner sequence, replacing them every 2 weeks as your teeth move gradually closer to their final position.

Retainer
When your teeth are beautifully positioned, you will wear a bespoke retainer to stop them from moving back out of position.

Why should I choose Invisalign® for teeth straightening?

We’re so glad you asked, as the reasons to choose Invisalign® are extremely compelling:

Removable: no messing around trying to brush around metal braces. Simply take your aligners out to do so.

Dietary Freedom: be free to eat and drink whatever you like – no limitations with eating harder foods that can damage a metal brace. Just take your aligners out and enjoy the pleasure of eating normally.

Know what you’re getting: the technology supporting the Invisalign® process allows us to show you your post-treatment smile before you begin treatment. No unexpected surprises when you complete your treatment.

Discreet as can be: Invisalign® is one of the most discreet treatments out there for teeth straightening.

Improved oral health levels: straighter teeth are significantly easier to reach with your toothbrush and dental floss, which can lower your risk of issues like decay, bad breath, and gum disease.

Book an Appointment Book a Telephone Call

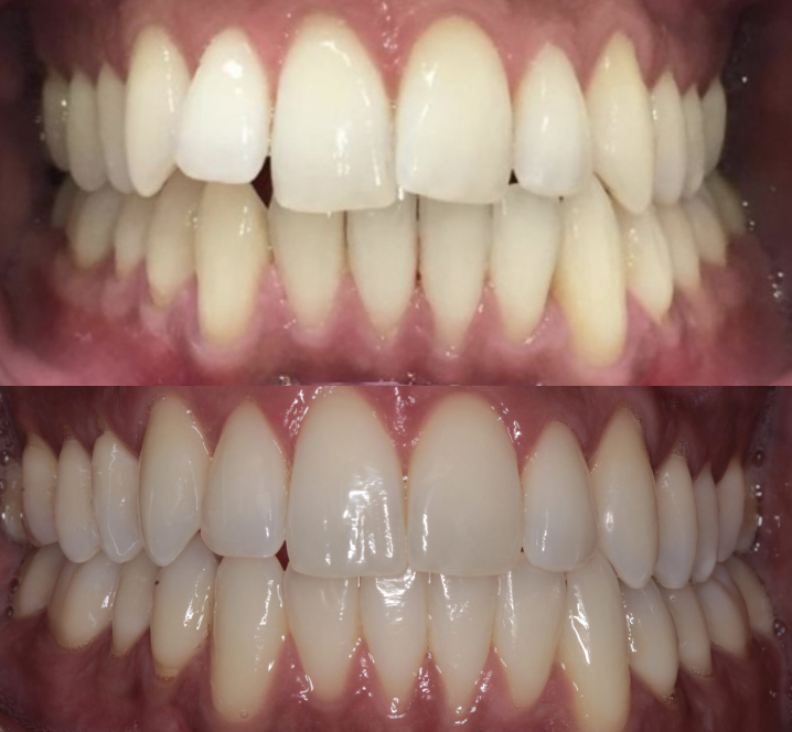
Smile Gallery

Smile Gallery

Before

After

Images by Kirby Dental

Smile Gallery

Before

After

Images by Invisalign®

Smile Gallery

Before

After

Images by Invisalign®

Smile Gallery

Before

After

Images by Invisalign®

Smile Gallery

Smile Gallery

Before

After

Images by Kirby Dental

Smile Gallery

Before

After

Images by Invisalign®

Smile Gallery

Before

After

Images by Invisalign®

Smile Gallery

Before

After

Images by Invisalign®

Comparison of Invisalign® vs other treatments

Other clear aligners

Traditional braces

Made from SmartTrack material

check

In-person consultations with real dentists

check
check

Easily removable for eating, drinking & flossing*

check
check

No emergency visits for broken wires

check
check

Made from SmartTrack material

check

In-person consultations with real dentists

check

Easily removable for eating, drinking & flossing*

check

No emergency visits for broken wires

check

Virtually invisible

check

Each aligner is trimmed to your gum line for optimal comfort and appearance**

check

Blue compliance indicator dots to help you stay on track

check

Covered by many orthodontic insurance plans

check

Easily removable for eating, drinking & flossing*

check

No emergency visits for broken wires

check

Virtually invisible

check

Covered by many orthodontic insurance plans

check

In-person consultations with real dentists

check

Made from traditional brackets and wires

check

Covered by many orthodontic insurance plans

check
Book an Appointment Book a Telephone Call

Six reasons why you should choose us for your Invisalign® treatment

reasons icon

Excellent customer service

reasons icon

Free initial consultation

reasons icon

Teeth whitening worth £395, included for free

reasons icon

£499 worth of removable retainers, included for free

reasons icon

Beautiful teeth in as little as three months, using safe cosmetic braces

reasons icon

Why wait? Interest free finance available

Book an Appointment Book a Telephone Call

What can Invisalign® fix?

invisalign before after

Crowded teeth

Crowded teeth is a condition where you do not have enough room for your teeth to fit normally. This can cause plaque or tartar and other harmful bacteria to build up as it is harder for you to brush and floss well.

invisalign before after

Gaps between teeth

Gaps between teeth is when there is extra space between two or more of your teeth. This can cause pockets between your teeth and gums and can cause food to get stuck making them tender and sore. This might also lead to gum disease.

invisalign before after

Open bite

An Open bite is when your upper and lower teeth don't touch when you close your mouth. An open bite can make it hard for you to chew or difficult to bite even the most common of food like apples.

invisalign before after

Underbite

An underbite is when you close your mouth and your lower front teeth are in front of your upper teeth. In many cases, this is actually a problem with your lower jaw being too far forward. An underbite can make it hard to chew properly and speak clearly, and it might cause your teeth to wear down more quickly.

invisalign before after

Overbite

An overbite is when your upper front teeth overlap with your lower front teeth. Most people have at least a little overbite. When your overbite is too large, your doctor might tell you you have a deep bite. This can cause problems, from your teeth wearing down to pain in your jaw.

invisalign before after

Crossbite

A crossbite is when you close your mouth and yet some of your upper teeth are sitting inside your lower teeth rather than on the outside. A crossbite can make your teeth wear down or chip. It can also make your gums start to recede or make little notches above your gum line. This kind of damage can lead to painful gum problems or even bone loss.

Book an Appointment Book a Telephone Call

Affordable Invisalign® treatment

Many people worry about the cost of Invisalign braces, and so we have devised a number of payment plans to help you afford the right treatment with Invisalign.

Learn More

Invisalign GO®

from £ 3500
  • Free whitening worth £395. Cost of treatment also includes removable retainers.
Book Now

Free virtual 3D scan

We can create a 3D image of your teeth in just minutes using an iTero scanner, a leading digital scanner from the makers of Invisalign® clear aligners.

Scan Image
Itro Image

FAQs

1. How long do I wear my Invisalign® each day?

You should wear your aligners for at least 22 hours each day to adhere to the treatment plan. This leaves you with 2 hours each day to enjoy your food like normal, brush with ease, and remove the aligners for any work presentations or contact sports (where a mouthguard is needed).

2. Why Choose Kirby Dental Practice?

Our dental practice in Teddington provides a friendly and welcoming environment with exacting standards – we want our patients to feel happy and relaxed when they come in to see us. We’ll do everything we can to make this a reality, thanks to our highly trained team and state-of-the-art clinical technology.

One of the most valued pieces of feedback we receive from our patients is how they have been well looked after by our kind dental team. Our family-owned dental practice is a haven where you can come and talk through the worries you have about your oral health and smile, and we can get to work to resolve them.

But our work isn’t done there. We offer diligent aftercare and pride ourselves on longstanding relationships with our patients based on trust and full transparency. We will always give you a full breakdown of your options, along with an honest outlook on the benefits, potential risks, and outcomes. We have invested in technology that minimises the risk and potential for complications, giving you peace of mind at every stage of your treatment journey with us.

Book an Appointment

GET IN TOUCH

To speak with a member of our team to arrange or cancel an appointment or to make an enquiry as a new or existing patient, please get in touch.

Google Rating
5.0
Google Rating
Google-review